
Welcome to Washington Orthodontics
When you think about transforming your smile, you want an orthodontic practice that combines expertise with genuine care. Dr. Thomas Moon leads Washington Orthodontics in Bellevue and Federal Way, where every patient receives personalized attention from a board-certified orthodontist. Whether you’re considering treatment for yourself or your child, the practice offers comprehensive orthodontic services designed to create beautiful smiles that last a lifetime. From traditional braces to clear aligners, the team uses advanced 3D imaging technology to plan treatments that fit your unique needs and lifestyle.
Meet the Doctor
Dr. Thomas Moon
Dr. Thomas Moon brings both exceptional credentials and genuine warmth to his orthodontic practice. After earning his Doctorate of Dental Surgery and Master of Science in Dentistry from The Ohio State University, he completed specialized orthodontic training and earned board certification through rigorous examinations. These credentials place him among the most qualified orthodontic professionals in the field. Beyond his professional achievements, Dr. Thomas Moon lives in Newcastle with his wife Jane and enjoys an active Pacific Northwest lifestyle that includes golfing, cooking, exploring Seattle’s diverse neighborhoods, and hiking mountain trails. His passion for continuous improvement—both personally and professionally—reflects in the “better than yesterday” philosophy that guides patient care at Washington Orthodontics.


Your Journey at Washington Orthodontics
Insurance
At Washington Orthodontics, we simplify the insurance process by working with all dental plans and handling most claims in-office. Our team will explain how your benefits apply to your treatment and work with you to make care as affordable as possible. We’re here to make your smile journey easy and stress-free.
Payment
Our team believes in accessible dental care without complication. We offer straightforward pricing and clear estimates. Washington Orthodontics also provides interest-free payment plans, ask about your options or learn more under Insurance & Financing.
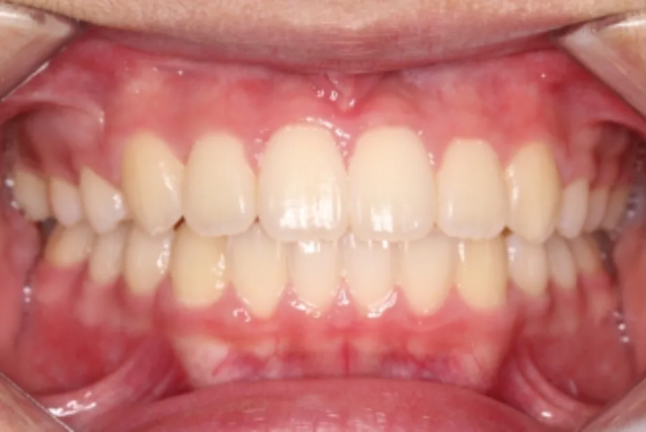
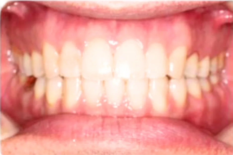
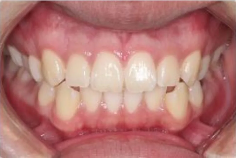
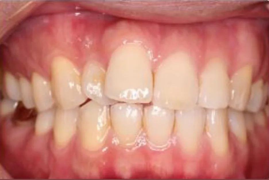
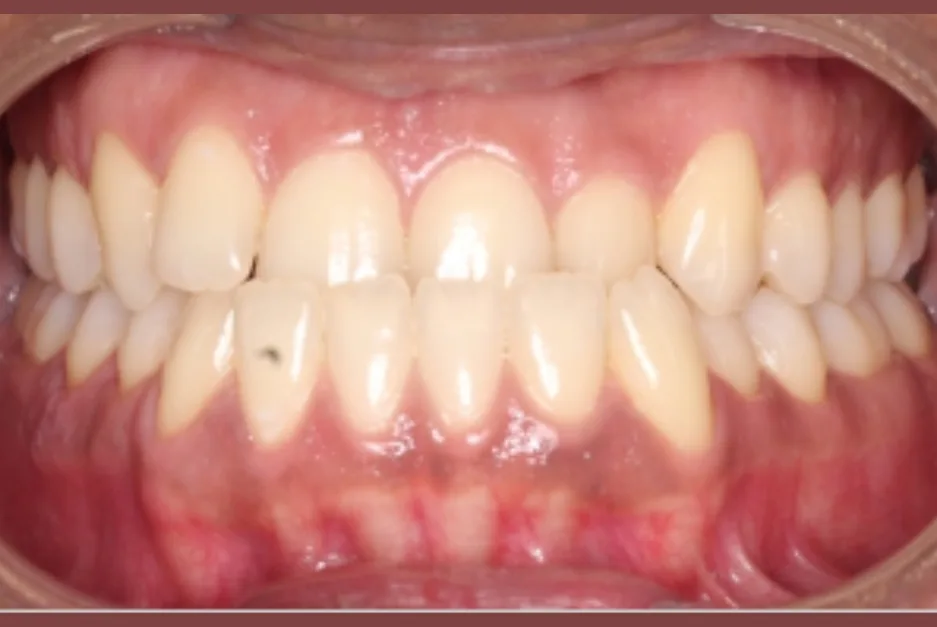
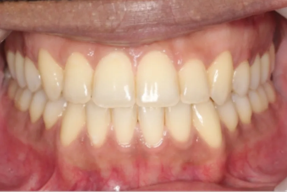
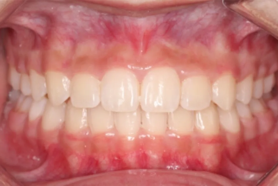
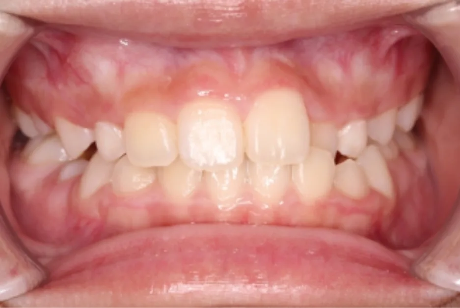
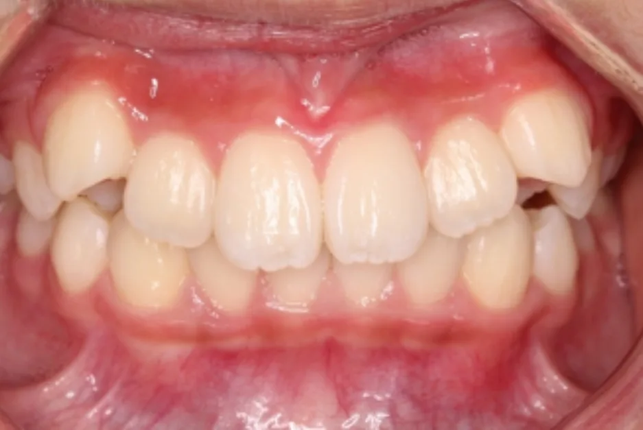
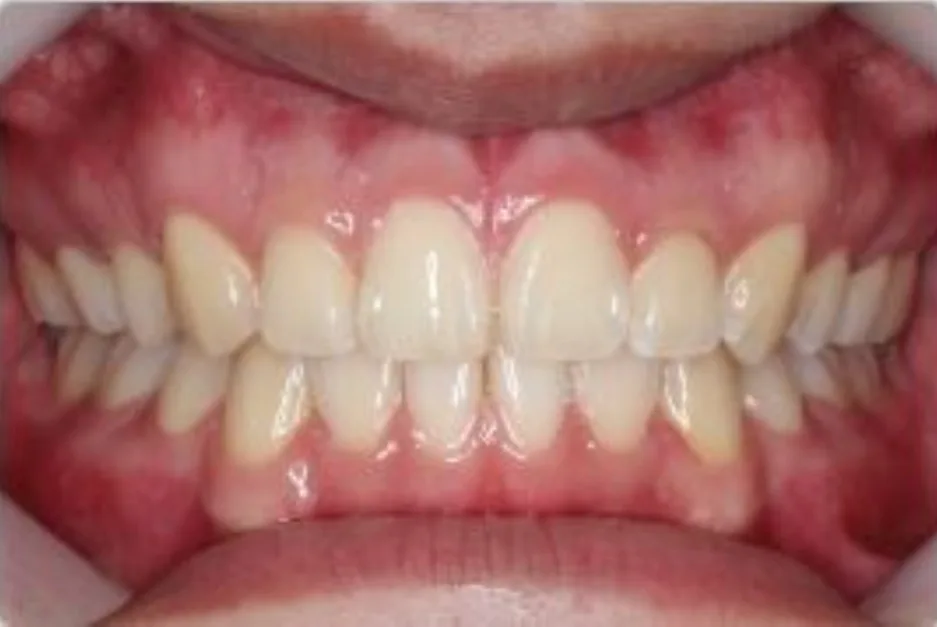
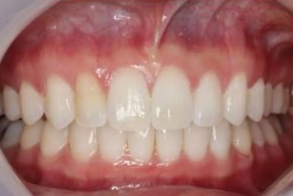
Before And After
See before and after treatment examples of the amazing difference in other patients who have trusted us!







Our Mission
At Washington Orthodontics, Dr. Thomas Moon embraces a simple yet powerful philosophy: being “better than yesterday.” This approach drives every aspect of patient care, from the initial consultation to the final retainer fitting. The practice focuses on creating meaningful connections with patients while delivering exceptional orthodontic treatment results. Dr. Thomas Moon earned both his Doctorate of Dental Surgery and Master of Science in Dentistry from The Ohio State University, and his board-certification demonstrates his commitment to the highest standards of orthodontic care. Rather than rushing through appointments, the practice prioritizes quality over quantity, ensuring you receive the time and attention your smile deserves.
Why Choose Us
Choosing an orthodontist is an important decision that affects both your health and confidence. Washington Orthodontics stands out among Bellevue and Federal Way communities through personalized care, advanced technology, and a patient-first approach. Here are five compelling reasons to trust Dr. Thomas Moon and his team with your orthodontic journey.

FAQs
What areas does Washington Orthodontics serve?
Washington Orthodontics serves patients from two convenient locations. The Bellevue office is located at 4140 Factoria Blvd SE, Suite 1A, in the Factoria neighborhood, while the Federal Way office is at 2315 SW 320th St. Dr. Thomas Moon and his team actively serve patients throughout the Eastside region including Mercer Island, Redmond, Issaquah, and Sammamish, as well as Federal Way and South King County communities. These convenient locations make quality orthodontic care accessible to families across the region who want personalized treatment from a board-certified specialist.
What are the office hours?
Washington Orthodontics aims to maintain consistent hours. These focused operating days allow Dr. Thomas Moon to provide thorough, unhurried attention to each patient during their appointments. It’s recommended to schedule appointments in advance and arrive 10-15 minutes early for your first visit to complete any remaining paperwork.
Bellevue Hours
Mon, Wed, Fri: 8am-5pmTue, Thu, Sat, Sun: Closed
Federal Way Hours
Tues-Thurs: 8am - 5pmMon, Fri, Sat, Sun: Closed
How long does orthodontic treatment typically take?
Treatment duration varies based on individual case complexity and the type of orthodontic treatment chosen. Most cases range from 12 to 30 months, with traditional braces typically requiring 18-24 months. Clear aligners may offer shorter treatment times for less complex cases. During your consultation, Washington Orthodontics will assess your specific situation and provide a personalized timeline so you know exactly what to expect throughout your orthodontic journey.
Will I experience discomfort during treatment?
Some initial soreness is normal when beginning orthodontic treatment or after adjustments, but modern techniques have significantly reduced treatment-related pain. Washington Orthodontics uses gentle, precise methods to minimize discomfort, and the team provides personalized tips and tools to manage any temporary soreness. Most patients find that any mild discomfort subsides within a few days as they adjust to their braces or aligners. The benefits of a healthy, beautiful smile far outweigh these brief periods of adjustment.
How often will I need to visit for adjustments?
Most patients visit Washington Orthodontics every 6-8 weeks for check-ups and adjustments. The exact frequency depends on your specific treatment plan and progress. Patients using clear aligners may require less frequent in-office visits since they switch to new aligners at home every two weeks. Dr. Thomas Moon monitors progress carefully at each appointment and adjusts the treatment timeline as needed to ensure optimal results while respecting your busy schedule.
Orthodontic Treatment Solutions for Every Smile
Straightening teeth and correcting bite problems requires expertise and advanced technology. At Washington Orthodontics, we provide comprehensive orthodontic treatment for patients of all ages in Bellevue, Federal Way, and surrounding communities. Dr. Thomas Moon combines specialized training with cutting-edge 3D imaging technology to create personalized treatment plans that address your unique dental concerns. Whether you need traditional metal braces, clear ceramic options, or Invisalign clear aligners, our approach focuses on delivering beautiful, functional results.
Modern Technology Transforms Your Experience
Orthodontic care has evolved significantly from decades past. Digital scanning creates precise impressions, eliminating messy putty and offering a seamless start to your journey. Washington Orthodontics’ imaging technology provides a virtual preview of your expected results before beginning care. This innovative approach clarifies what to expect throughout the process.
Our commitment to innovation delivers:
- Digital impressions that eliminate uncomfortable traditional molds
- Computer modeling to visualize your smile transformation ahead of time
- Precisely fitted appliances created through advanced fabrication
- Progress tracking at each visit using current imaging methods
- Flexible scheduling that accommodates busy lifestyles
Comprehensive Care Addresses Multiple Dental Concerns
Every smile presents different challenges, and our practice tackles various alignment problems effectively. Washington Orthodontics addresses crowded teeth, gaps between teeth, overbites, underbites, crossbites, and open bites using proven techniques. Duration typically ranges from 12 to 30 months depending on case complexity. Dr. Thomas Moon’s gentle, precise methods minimize discomfort while delivering optimal results that last a lifetime.
Our tailored approach handles:
- Crowded teeth that overlap or twist due to insufficient space
- Spacing issues where gaps appear between multiple teeth
- Bite misalignments including overbites and underbites
- Crossbites that affect how upper and lower teeth meet
- Open bites where front teeth don’t touch when closing

Clear Aligners for Kids and Adults Fit Your Active Life
Straightening teeth no longer means dealing with metal brackets and wires that interfere with daily activities. Clear aligners for kids and adults offer a discreet alternative that works seamlessly with busy schedules. These transparent trays gradually shift teeth into proper positions while remaining virtually invisible during wear. At Washington Orthodontics, we provide teens and adults with removable aligner systems that make maintaining oral hygiene simple and allow complete freedom during meals.
Why Removable Aligners Work Better for Busy Families
Traditional braces create challenges for active individuals who participate in sports, public speaking, or professional settings. Clear aligners solve these problems through their removable design. You can take them out for important events, meals, and brushing while maintaining progress. Duration varies based on case complexity and how consistently you wear your aligners.
Patients who value flexibility appreciate:
- Removing trays during meals with no dietary restrictions
- Brushing and flossing normally to maintain excellent oral health
- Participating in sports and activities free from mouth irritation
- Attending professional meetings with complete confidence
- Switching to new aligners at home as directed
Precision Technology Creates Your Individual Plan
Modern orthodontics relies on accuracy to deliver exceptional results. Washington Orthodontics uses sophisticated imaging systems to design your aligner care. This approach creates accurate impressions while maintaining ease and efficiency. You’ll see a preview of your expected results before starting, giving you confidence in the process ahead.
The planning process provides:
- Individual plans tailored to your specific needs
- Virtual previews that show expected smile transformation
- Clear timelines so you know exactly what to expect
- Collaborative planning to fine-tune your goals
- Regular progress monitoring through current imaging methods
Our patients from Bellevue, Federal Way, and surrounding communities appreciate how clear aligners fit naturally into their daily routines.

Retainer Care Protects Your Smile Investment
After months of orthodontic treatment, your teeth have reached their ideal positions. Retainers keep them there. These devices prevent unwanted tooth movement that naturally occurs throughout life. At Washington Orthodontics, we provide multiple retainer options to preserve the smile you worked hard to achieve.
Two Distinct Options Meet Different Needs
Washington Orthodontics offers fixed and removable retainer types to match your lifestyle preferences. Fixed retainers consist of small, durable wires bonded to the back of your teeth, usually on the lower arch. They require no daily effort and stay in place for long-term stability. Clear removable retainers are thin, transparent aligners that fit snugly over your teeth and can be taken out for eating, drinking, and cleaning.
Each type provides specific advantages:
- Fixed options work continuously, requiring no patient compliance
- Removable designs allow easy cleaning and maintenance
- Clear versions remain discreet during wear
- Bonded wires eliminate the risk of losing your device
- Removable styles let you eat with no restrictions
Proper Care Extends Device Lifespan
Removable versions can last five to ten years when properly cared for. Dr. Thomas Moon provides detailed instructions on proper maintenance and emphasizes that wearing schedules should typically continue indefinitely to protect your investment. Regular check-ups help determine when a replacement is needed, and proper handling can significantly extend lifespan.
Essential habits protect your device:
- Follow the care instructions provided by Dr. Thomas Moon
- Store in a protective case when not in use
- Keep away from high temperatures that can warp the material
- Bring to all check-up appointments for inspection
- Replace as advised by your orthodontist
Regular visits to our Bellevue or Federal Way office help monitor both your teeth alignment and device condition, allowing us to make necessary adjustments to your wearing schedule.

Start Your Smile Transformation with Washington Orthodontics
Ready to achieve the beautiful smile you’ve always wanted with orthodontic treatment from a board-certified specialist? Dr. Thomas Moon and his team at Washington Orthodontics provide personalized orthodontic services including clear aligners, metal braces, ceramic braces, and removable retainers at two convenient locations. Visit the Bellevue office at 4140 Factoria Blvd SE, Suite 1A, or the Federal Way office at 2315 SW 320th St. Families throughout the Eastside and South King County trust Dr. Thomas Moon for their orthodontic care. Connect with the practice on Facebook and Instagram to see real patient transformations and learn valuable oral hygiene tips. Call 425-698-1875 for the Bellevue office or 253-839-1300 for the Federal Way office to schedule your consultation and discover how advanced 3D imaging technology can preview your future smile.

























